循環器科紹介フォーム
当院には院長をはじめ日本獣医循環器学会認定医が3名在籍し、幅広い循環器疾患の診療に対応しています。認定医が専門的な知見から様々な循環器疾患のアドバイスを行なっており、県外からも紹介症例やセカンドオピニオンを希望される患者さまが多く来院されます。胸部外科では動脈管開存症の手術や肺動脈狭窄症に対するカテーテル手術などを得意としています。また内科的治療では、常に最新の情報をアップデートした治療法を心がけています。診断は心臓超音波検査、レントゲン検査、心電図検査、血圧測定など総合的に評価して行い、治療は飼い主さまとよく相談しながら進めていきます。循環器疾患でご心配なことがあればいつでもご相談ください。
※一般的な循環器疾患についてはすべての獣医師で診察は可能ですが、診察時に担当獣医師が循環器科の専門診療を必要と判断した場合や、飼い主様が専門獣医師の診察をはじめからご希望される場合には、院長(要予約)、小林獣医師(木曜日のみ要予約)・則竹獣医師の出勤日にご来院をお願いいたします。またセカンドオピニオンや他院からの紹介症例にも、専門獣医師が対応させていただきますので、予めその旨をお知らせください。
僧房弁閉鎖不全症(MR)
僧帽弁閉鎖不全症(MR)とは、左心房と左心室の間にある弁(僧帽弁)が変性して閉鎖不全を起こすことで、左心室から全身に送り出されるはずの血液の一部が、左心房に逆流してしまう状態のことです。進行するにつれて心拍出の大部分が左心房に逆流するようになると、容量負荷に伴う左心房の拡大が生じ、拡大した心臓が胸部の気管を圧迫することで咳が増えたり、また循環が悪くなることで疲れやすい(運動不耐性)などの症状が出たりします。さらに、肺静脈圧の上昇が起こると最終的には肺水腫となります。MRは早期に発見して適切な内科的治療を開始することで、長期的な予後の改善が認められることが知られています。また近年では一部の施設において、外科手術による僧帽弁形成術が行われる場合もあります。
【主な治療方法】
投薬による内科的治療が主体となります。
※外科手術が必要な場合には、対応できる動物病院への紹介も可能です。

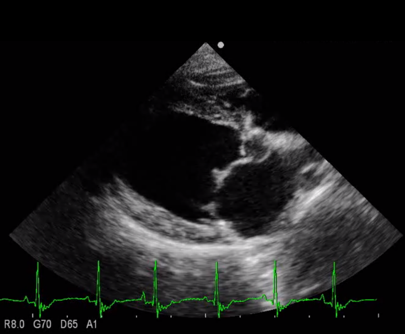
MRに罹患した犬の超音波画像所見(左心房と左心室の間に位置する僧帽弁の弁尖部に肥厚が認められる)

同様の犬における超音波カラードプラ法の画像所見(左心房への血液の逆流がモザイク像として認められる)

正常な犬の胸部レントゲン画像(心臓のサイズは正常であり、肺野もきれいです)

肺水腫の犬の胸部レントゲン画像(心拡大が認められ、肺野の不透過性が亢進しています)
動脈管開存症(PDA)
動脈管とは胎児が子宮内で生存するために必要な血管で、肺動脈と大動脈を繋ぐ血管です。胎児は子宮内では肺で呼吸をしないため、動脈管は機能していない肺を迂回して大動脈へ血液を送る役割を担います。この動脈管は本来、出生後まもなく閉鎖して機能しないようになりますが、稀にうまく閉鎖せず残存してしまうことがあり、この状態を動脈管開存症(PDA)と言います。犬では最も多い先天性心疾患であると言われています。動脈管開存症が存在すると、多くの場合、血液が血圧の高い大動脈から肺動脈の方へ短絡(左-右シャント)するため、左心系に容量負荷がかかり、やがて左心不全(左心系の拡大、肺水腫)となります。あまり多くはありませんが、過剰な肺血流のために肺血管の抵抗性が劇的に上昇し、逆方向に短絡(右-左シャント)することもあります。
【主な治療方法】
●開胸による動脈管結紮術
●カテーテル治療(AMPLATZERTM、コイル)
いずれも当院で実施可能ですが、できるだけ早期の診断と手術計画が必要となります。
※Amplatzは動脈管の形状や体格などにより適応できない場合もあるため術前の正確な診断が必要です。

PDAに罹患した犬の超音波画像所見(大動脈から動脈管を通じて肺動脈へと血流が短絡してる様子が確認される)

開胸手術における動脈管結紮術の様子(二本の糸をかけている部分が大動脈と肺動脈を繋ぐ動脈管)

カテーテル挿入による選択的心血管造影法(動脈管とともに大動脈から肺動脈へ造影剤が流れ込む様子が描出されている)

AMPLATZERTMによる動脈管閉鎖術(大腿動脈からカテーテルを挿入してAMPLATZERTMにより動脈管を閉鎖している様子)
肺動脈狭窄症(PS)
心臓から肺へ血液を送り出す肺動脈の弁が狭くなっている状態を肺動脈狭窄症(PS)と呼び、犬の先天性心疾患の中では2番目に多い病気です。狭窄の部位により弁性タイプ(肺動脈弁異形成)、弁下タイプ、弁上タイプに分類されます。この疾患によって発現する症状は、狭窄の重症度に比例し、軽度の場合にはほとんど症状は示しませんが、重度の場合には、右心流出に対する抵抗性の増加により右心不全症状(右心肥大、肺動脈の狭窄部後拡張、低酸素症による失神、腹水、胸水など)が発現します。若齢期に軽度の狭窄で無症候であっても、成長に伴い症状が進行するケースもあるため、PSと診断された場合には定期的な検診が必要となり、適切な時期に手術を行うことが重要です。
【主な治療方法】
軽度の場合には内科的治療、重度の場合にはカテーテル手術(バルーン弁口拡大術:バルーンで狭窄部を拡げる手術)を行います。
当院で実施可能です。弁の形状によりバルーン手術が適応とならない場合もあるため術前の正確な診断が必要となります。

PSに罹患した犬の超音波画像所見(肺動脈弁の狭窄とともに著しい肺動脈の狭窄部後拡張が認められる)

同様の犬における超音波カラードプラ法の画像所見(狭窄部の血流速が7m/s以上であり著しい加速血流が認められる)

カテーテル挿入による選択的心血管造影法(右心系の造影により狭窄した肺動脈領域が描出されている)

頸静脈よりガイドワイヤーを挿入し、バルーン操作によって狭窄した肺動脈弁を拡張している様子(バルーン弁口拡大術)
猫の肥大型心筋症(HCM)
猫の心筋症の中で最も多く発生するのが、肥大型心筋症です。この肥大型心筋症は左心室の心筋が分厚く肥大してしまい、心室が広がりにくくなり拡張障害を起こす心筋症です。左心房は肺静脈に繋がっており、拡張障害によって血液が左心房に溜まる事で肺にも影響を与え、肺水腫や胸水による呼吸困難を起こします。また、血液循環が悪くなるので血栓ができやすい状態にもなり、後遺症や命にかかわる事もあります。この病気は他の病気から二次的に起こる場合や遺伝性、家族性でも発生しますが原因不明の特発性も多く、全ての年代の猫で発症し、特にオスに多いと言われています。予防が難しく初期症状がない場合も多く重症化してから気付かれるケースも珍しくありません。超音波検査で診断が診断が可能ですので、定期的な検査を行うことが重要です。
【主な治療方法】
●血栓融解療法やバルーンによる血栓除去
※時間が経過すると予後不良となることが多いため、早期治療が必要です。

正常な猫の心臓超音波画像の短軸像(心筋壁の厚みは正常では6mm以下であり左心室の内腔には十分なスペースがある)

HCMの猫の心臓超音波画像の短軸像(左心室の心筋が著しく肥大しており心臓内腔も狭くなっている)

正常な猫の胸部レントゲン画像(心拡大は認められない)

HCMに罹患した猫の胸部レントゲン画像(心拡大とともに肺野の不透過性も亢進している)
循環器科専門診療へ症例をご紹介される場合には、循環器科紹介状フォームをご利用いただき必要項目のご入力をお願いいたします。内容を確認させていただき次第、折り返しご連絡いたします(折り返しのご連絡をもって予約を確定いたします)。また緊急疾患やお急ぎの場合には、直接当院までお電話にてご連絡いただき、その後紹介状フォームの送信をお願いいたします。
当院では「他の動物病院にかかっているけど、他の獣医師の意見も聞きたい」という患者さま向けにセカンドオピニオン外来の診療もお受けしております。その際はこれまでの経過がわかるもの(検査結果や処方されたお薬など)をご持参いただくと、当院にて不必要な検査を省略できることがあります。また、かかりつけ医の先生からご紹介をいただければ、その先生と連携して治療にあたることも可能です。セカンドオピニオンをご希望の方はお電話にてお問い合わせいただくか、来院時にその旨を受付にてお伝えください。